Acetyl-Histone H4 (Lys5) Antibody [N10C10]

目录号: F4698

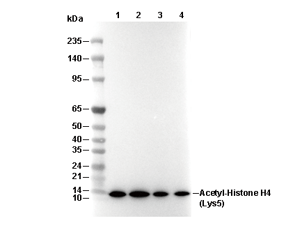
    抗体应用: 反应性:
    • Lane 1: Hela, Lane 2: C2C12, Lane 3: H-4-II-E, Lane 4: COS7
    规格 价格 库存 购买数量
    20uL 790 现货
    50uL 1240 现货
    100uL 1990 现货
    100uL*2 3790 现货

    400-668-6834

    info@selleck.cn

    操作要点

    WB
    建议 SDS-PAGE 分离胶浓度:20%
    湿转参考条件:200 mA, 60 min,建议使用 0.22 μm PVDF膜。

    使用信息

    稀释比例
    1:1000
    1:100
    1:6400
    1:25
    抗体应用
    WB, IP, IHC, ChIP
    反应性
    Human, Mouse, Rat, Monkey
    抗体类型
    Rabbit Monoclonal Antibody
    储存液配方
    PBS, pH 7.2+50% Glycerol+0.05% BSA+0.01% NaN3
    储存条件(自收到货起)
    -20°C (avoid freeze-thaw cycles), 2 years
    预测分子量
    11 kDa
    阳性对照 Human colon carcinoma; Human lung carcinoma; Human breast; H-4-II-E cell; COS-7 cell; HeLa cell (TSA, 1 μM, 18 h); C2C12 cell (TSA, 1 μM, 18 h)
    阴性对照

    实验方法

    WB
    实验步骤:
     
    样品制备
    1. 组织样品:破碎组织,加入适量冰冷的 RIPA/Nuclear Lysis Buffer (含蛋白酶抑制剂Cocktail),低温匀浆。
    2. 贴壁细胞样品:吸去培养基, 用冰冷的 PBS 清洗细胞 2 遍。加入适量冰冷的 RIPA/Nuclear Lysis Buffer (含蛋白酶抑制剂Cocktail),冰上静置裂解 5 min。
    3. 悬浮细胞样品:将培养基转移至离心管中离心,弃上清,用冰冷的 PBS 清洗细胞 2 遍。加入适量冰冷的 RIPA/Nuclear Lysis Buffer (含蛋白酶抑制剂Cocktail),冰上静置裂解 5 min。
    4. 将所得匀浆液/裂解液置于离心机中 4°C 离心 15 min,收集上清液;
    5. 取少量裂解液测定蛋白质浓度;
    6. 加入蛋白上样缓冲液,将 20 µL样品在 95~100°C加热 5 min,冰上静置冷却后离心 5 min。
     
    电泳分离
    1. 根据所提蛋白的浓度,将适量蛋白样品和 Marker 上样至 SDS-PAGE 凝胶。建议分离胶(即下层胶)浓度:20 %。 SDS-PAGE 分离胶浓度选择参照表
    2. 电源调 80 V, 30 min。然后电源调 110 V~150 V,观察 Marker,待蛋白所在的预染蛋白 Marker 指示带得到合适的分离后,即可停止电泳。(注意电泳时电流切勿过大,如超过 150 mA 会导致温度上升,容易影响跑胶结果。如无法避免采用大电流,可对电泳槽使用冰浴降温。)
     
    转膜
    1.拿出电转槽,把夹子和耗材浸泡在预冷电转液中;
    2.用甲醇活化 PVDF 膜 1 min,用转移缓冲液冲洗;
    3.按照“夹子黑边-海绵-滤纸-滤纸-胶-PVDF膜-滤纸-滤纸-海绵-夹子白边”的顺序安装好;
    4.将蛋白电转移至 PVDF膜上。(推荐采用 0.22 µm PVDF 膜PVDF 膜孔径规格选择参照表
    湿转法参考条件:200 mA, 60 min
    (注意电转条件可根据蛋白大小适当调节,分子量大的蛋白适宜采用大电流,并延长转膜时间,但需要确保电转槽始终处于低温的环境中,避免凝胶融化。)
     
    封闭
    1. 电转移后,室温下用 TBST 洗膜 5 min;
    2. 在封闭液中将膜孵育 1 h,室温;
    3. 用 TBST 洗膜 3 次,每次 5 min。
     
    抗体孵育
    1. 用 一抗稀释液配制一抗工作液(建议一抗稀释比 1:1000),4°C 条件下与膜轻柔摇晃孵育过夜;
    2. 用 TBST 洗膜 3 次,每次 5 min;
    3. 在封闭液中加入二抗,室温条件下与膜轻柔摇晃孵育 1 h;
    4. 孵育结束后,用 TBST 洗膜 3 次,每次 5 min。
     
    显色
    1. 加入配制好的 ECL 发光底物(或根据二抗选择其他显色基质)混合均匀;
    2. 与膜孵育1 min,去除多余底物(需保持膜湿润),置于显影仪中进行曝光。
     
    IHC
    实验步骤:
     
    脱蜡/补液
    1. 脱蜡/水合切片:
    2. 将切片在二甲苯中孵育 3 次,每次 5 分钟。
    3. 将切片在 100% 乙醇中孵育两次,每次 10 分钟。
    4. 将切片在 95% 乙醇洗涤液中孵育两次,每次 10 分钟。
    5. 用 dH2O 清洗切片两次,每次 5 分钟。
    6.抗原修复:对于柠檬酸盐:将载玻片浸入 1X 柠檬酸盐暴露溶液中,在微波炉中加热,直至开始沸腾; 在亚沸温度 (95°-98°C) 下继续煮 10 分钟。 在工作台上冷却玻片 30 分钟。
     
    染色
    1. 用 dH2O 清洗切片 3 次,每次 5 分钟。
    2. 将切片在 3% 过氧化氢中孵育 10 分钟。
    3. 用 dH2O 清洗切片两次,每次 5 分钟。
    4. 在洗涤缓冲液中洗涤切片 5 分钟。
    5. 用 100–400 µl 封闭液在室温下封闭每个切片 1 小时。
    6. 除去封闭液,并向每个切片中添加 100–400 µl 一抗稀释液。 4°C 孵育过夜。
    7. 去除抗体溶液,用洗涤缓冲液洗涤切片 3 次,每次 5 分钟。
    8. 用 1-3 滴所需的 HRPA 覆盖切片。 在加湿室中室温孵育 30 分钟。
    9. 用洗涤缓冲液洗涤切片 3 次,每次 5 分钟。
    10. 使用前将 DAB 显色剂浓缩液加入 DAB 稀释液中并充分混合。
    11. 在每个切片上涂抹 100–400 µl DAB 并密切监测。 1-10 分钟通常可提供可接受的染色强度。
    12. 将载玻片浸入 dH2O 中。
    13. 如果需要,用苏木精复染切片。
    14. 用 dH2O 清洗切片两次,每次 5 分钟。
    15. 切片脱水:95%乙醇孵育切片两次,每次 10 秒; 在 100% 乙醇中重复,孵育切片两次,每次 10 秒; 在二甲苯中重复,孵育切片两次,每次 10 秒。
    16. 用盖玻片和封固剂封固切片。
     

    Datasheet & SDS

    生物描述

    特异性
    Acetyl-Histone H4 (Lys5) Antibody [N10C10] 仅识别 Lys5 位点乙酰化的内源性 Histone H4 蛋白水平。
    蛋白定位
    染色体,核小体核心,细胞核
    Uniprot ID
    P62805
    克隆号
    N10C10
    别名
    Histone H4; H4C4; H4/B; H4FB; HIST1H4D
    背景
    乙酰化组蛋白H4 (Lys5) 是指组蛋白H4第5位赖氨酸(Lys5)上的乙酰基修饰。组蛋白H4是构成核小体的四种核心组蛋白之一,核小体是染色质的基本单元。组蛋白H4具有球状结构域和延伸的N端尾部,其中多个赖氨酸残基(包括Lys5)可以被乙酰化,从而影响染色质结构和基因表达。Lys5的乙酰化会中和组蛋白尾部的正电荷,削弱组蛋白与DNA的相互作用,并破坏核小体间的相互作用,从而促进染色质形成更开放的构象,有利于转录。H4K5ac标记可作为溴结构域蛋白的识别位点,这些蛋白选择性地结合乙酰化的赖氨酸,并将转录调控因子和染色质重塑因子募集到基因启动子区域,从而促进基因激活。组蛋白乙酰转移酶(HATs),例如Hat1和GCN5,催化Lys5的乙酰化,而组蛋白去乙酰化酶(HDACs)则去除乙酰基,动态调节转录激活和抑制之间的平衡。H4在Lys5位的乙酰化,通常与Lys12位的乙酰化同时发生,在不同物种间高度保守,并在DNA复制、修复、重组和细胞周期调控中发挥重要作用。
    参考文献
    • https://pubmed.ncbi.nlm.nih.gov/11080160/
    • https://pubmed.ncbi.nlm.nih.gov/27811920/

    技术支持

    在订购、运输、储存和使用我们的产品的任何阶段,您遇到的任何问题,均可以通过拨打我们的热线电话400-668-6834,或者技术支持邮箱tech@selleck.cn,直接联系到我们。我们会在24小时内尽快联系您。

    * 必填项

    请输入您的姓名
    请输入您的邮箱地址 请输入一个有效的邮箱地址
    请写点东西给我们
    在线咨询
    联系我们