Acetyl-p53 (Lys373) Antibody [J7D9]

目录号: F2048

    抗体应用: 反应性:
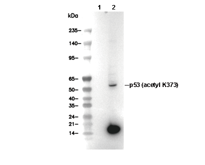
    • Lane 1: HepG2, Lane 2: HepG2 (etoposide, 30 ug/mL, 8 h; trichostatin A, 500 ng/mL, 4 h)
    • Immunofluorescent analysis of HepG2 cells using F2048 (green, 1:100 ), Hoechst (blue) and tubulin (Red).
    规格 价格 库存 购买数量
    20uL 790 现货
    50uL 1240 现货
    100uL 1990 现货
    100uL*2 3790 现货

    400-668-6834

    info@selleck.cn

    使用信息

    稀释比例
    1:5000
    1:100 - 1:250
    1:120
    抗体应用
    WB, IF, FCM
    反应性
    Human
    抗体类型
    Rabbit Monoclonal Antibody
    储存液配方
    PBS, pH 7.2+50% Glycerol+0.05% BSA+0.01% NaN3
    储存条件(自收到货起)
    -20°C (avoid freeze-thaw cycles), 2 years
    预测分子量
    实际分子量
    43 kDa
    53 kDa
    *为什么预测分子量和实际分子量会有不同?
    以下原因可能会导致蛋白分子量与预测不同:翻译后修饰(磷酸化/糖基化);剪接变体和异构体;相对电荷;多聚体。
    阳性对照 A431 cell (Etoposide, 30ug/mL, 8 h; trichostatin A, 500 ng/mL, 4 h); HepG2 cell(Etoposide, 30ug/mL, 8 h; trichostatin A, 500 ng/mL, 4 h); HeLa cell
    阴性对照 A431 cell; HepG2 cell

    实验方法

    WB
    实验步骤:
     
    样品制备
    1. 组织样品:破碎组织,加入适量冰冷的 RIPA/NP-40 Lysis Buffer (含蛋白酶抑制剂Cocktail),低温匀浆。
    2. 贴壁细胞样品:吸去培养基, 用冰冷的 PBS 清洗细胞 2 遍。加入适量冰冷的 RIPA/NP-40 Lysis Buffer (含蛋白酶抑制剂Cocktail),冰上静置裂解 5 min。
    3. 悬浮细胞样品:将培养基转移至离心管中离心,弃上清,用冰冷的 PBS 清洗细胞 2 遍。加入适量冰冷的 RIPA/NP-40 Lysis Buffer (含蛋白酶抑制剂Cocktail),冰上静置裂解 5 min。
    4. 将所得匀浆液/裂解液置于离心机中 4°C 离心 15 min,收集上清液;
    5. 取少量裂解液测定蛋白质浓度;
    6. 加入蛋白上样缓冲液,将 20 µL样品在 95~100°C加热 5 min,冰上静置冷却后离心 5 min。
     
    电泳分离
    1. 根据所提蛋白的浓度,将适量蛋白样品和 Marker 上样至 SDS-PAGE 凝胶。建议分离胶(即下层胶)浓度:10 %。 SDS-PAGE 分离胶浓度选择参照表
    2. 电源调 80 V, 30 min。然后电源调 110 V~150 V,观察 Marker,待蛋白所在的预染蛋白 Marker 指示带得到合适的分离后,即可停止电泳。(注意电泳时电流切勿过大,如超过 150 mA 会导致温度上升,容易影响跑胶结果。如无法避免采用大电流,可对电泳槽使用冰浴降温。)
     
    转膜
    1.拿出电转槽,把夹子和耗材浸泡在预冷电转液中;
    2.用甲醇活化 PVDF 膜 1 min,用转移缓冲液冲洗;
    3.按照“夹子黑边-海绵-滤纸-滤纸-胶-PVDF膜-滤纸-滤纸-海绵-夹子白边”的顺序安装好;
    4.将蛋白电转移至 PVDF膜上。(推荐采用 0.45 µm PVDF 膜) PVDF 膜孔径规格选择参照表
    湿转法参考条件:200 mA, 120 min
    (注意电转条件可根据蛋白大小适当调节,分子量大的蛋白适宜采用大电流,并延长转膜时间,但需要确保电转槽始终处于低温的环境中,避免凝胶融化。)
     
    封闭
    1. 电转移后,室温下用 TBST 洗膜 5 min;
    2. 在封闭液中将膜孵育 1 h,室温;
    3. 用 TBST 洗膜 3 次,每次 5 min。
     
    抗体孵育
    1. 用 一抗稀释液配制一抗工作液(建议一抗稀释比 1:5000),4°C 条件下与膜轻柔摇晃孵育过夜;
    2. 用 TBST 洗膜 3 次,每次 5 min;
    3. 在封闭液中加入二抗,室温条件下与膜轻柔摇晃孵育 1 h;
    4. 孵育结束后,用 TBST 洗膜 3 次,每次 5 min。
     
    显色
    1. 加入配制好的 ECL 发光底物(或根据二抗选择其他显色基质)混合均匀;
    2. 与膜孵育1 min,去除多余底物(需保持膜湿润),置于显影仪中进行曝光。
     
    IF
    实验步骤:
    样品准备
    1. 贴壁细胞:取洁净无菌盖玻片置于培养皿中,待细胞接近长成单层后取出盖玻片。
    2. 悬浮细胞:将细胞接种至多聚赖氨酸包被的洁净无菌载玻片上。
    3. 冰冻切片:将玻片置于室温下解冻,纯水或 PBS 摇洗 3次,每次 3 min。
    4. 石蜡切片:先将玻片脱蜡至水,纯水或 PBS 摇洗 3次,每次 3 min。然后进行抗原修复。
     
    固定
    1. 使用固定液,如4%多聚甲醛(4% PFA)室温固定细胞爬片/涂片或组织切片 10~15 min。
    2. 使用 PBS 摇洗样品 3次,每次 3 min。
     
    通透
    1. 对样品添加去垢剂,如 0.1~0.3% Triton X-100,室温通透 10~20 min。
    (仅针对胞内抗原,若是细胞膜上表达的抗原则可省略该步骤。)
    2. 使用 PBS 摇洗样品 3次,每次 3 min。
     
    封闭
    添加封闭液,在室温下封闭至少 1 h。(常用的封闭液包括:与二抗同一来源的血清、BSA或山羊血清。)
    注意事项:从封闭开始之后的所有步骤务必保证样品湿润,避免干燥,否则极易产生高背景。
     
    免疫荧光染色(第一天)
    1. 吸走封闭液,滴加稀释后的一抗。
    2. 湿盒中 4°C 孵育过夜。
     
    免疫荧光染色(第二天)
    1. 吸走一抗,PBST 摇洗 3 次,每次 5 min。
    2. 滴加稀释后的荧光二抗,避光 4°C 孵育 1~2 h。
    3. 吸走二抗,PBST 摇洗 3 次,每次 5 min。
    4. 滴加稀释后的 DAPI,室温避光 孵育 5~10 min。
    5. PBST 中摇洗 3 次,每次 5 分钟。
     
    封片
    1. 抗荧光淬灭封片剂封片。
    2. 干燥玻片,将玻片置于室温下避光过夜。
    3. 将载玻片放入玻片盒中 4°C 避光保存。
     

    Datasheet & SDS

    生物描述

    特异性
    Acetyl-p53 (Lys373) Antibody [J7D9] 仅可识别 Lys373 处乙酰化的 p53 蛋白水平。
    蛋白定位
    细胞质,细胞骨架,内质网,线粒体,细胞核
    Uniprot ID
    P04637
    克隆号
    J7D9
    别名
    P53; TP53; Cellular tumor antigen p53; Antigen NY-CO-13; Phosphoprotein p53; Tumor suppressor p53
    背景
    乙酰化p53 (Lys373) 指的是p53肿瘤抑制蛋白的翻译后修饰形式。p53是一种序列特异性DNA结合转录因子,属于p53家族,调控参与细胞周期阻滞、DNA修复、衰老和凋亡的基因。p53包含一个N端转录激活结构域 (TAD)、一个含有关键残基(如K120)的中央DNA结合结构域,以及一个含有多个赖氨酸位点(包括K373,通常与K382一起研究)的C端调控结构域。这些赖氨酸残基可被组蛋白乙酰转移酶(如p300/CBP)乙酰化,从而中和其正电荷,促进p53的开放构象,并增强其与DNA的结合亲和力。 K373/K382位点的乙酰化通过减少泛素化和降解来稳定p53,并将p300募集到类似p21^Waf1/Cip1的启动子区域,并增强细胞周期抑制因子的转录激活(该过程不依赖于N端磷酸化,例如Ser15、Ser20、Ser392),从而诱导p21表达、G1/S期阻滞和肿瘤抑制,同时对HDAC抑制剂(如depsipeptide)产生反应。这种修饰精细调控p53的信号通路选择,使其在特定情况下(例如DNA损伤或基因毒性应激)倾向于促进细胞生长停滞而非凋亡,这在癌症中具有疾病相关性,因为其失调会促进细胞增殖。
    参考文献
    • https://pubmed.ncbi.nlm.nih.gov/16537920/
    • https://pubmed.ncbi.nlm.nih.gov/25545885/

    技术支持

    在订购、运输、储存和使用我们的产品的任何阶段,您遇到的任何问题,均可以通过拨打我们的热线电话400-668-6834,或者技术支持邮箱tech@selleck.cn,直接联系到我们。我们会在24小时内尽快联系您。

    * 必填项

    请输入您的姓名
    请输入您的邮箱地址 请输入一个有效的邮箱地址
    请写点东西给我们
    在线咨询
    联系我们