DBF4 Antibody [A15L5]

目录号: F3863

    抗体应用: 反应性:
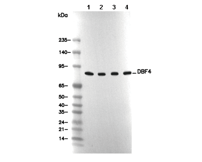
    • Lane 1: PC-3, Lane 2: Jurkat, Lane 3: SW480, Lane 4: HepG2
    规格 价格 库存 购买数量
    20uL 790 现货
    50uL 1240 现货
    100uL 1990 现货
    100uL*2 3790 现货

    400-668-6834

    info@selleck.cn

    操作要点

    WB
    建议一抗稀释比: 1:10000

    使用信息

    稀释比例
    1:10000 - 1:50000
    抗体应用
    WB
    反应性
    Human
    抗体类型
    Rabbit Monoclonal Antibody
    储存液配方
    PBS, pH 7.2+50% Glycerol+0.05% BSA+0.01% NaN3
    储存条件(自收到货起)
    -20°C (avoid freeze-thaw cycles), 2 years
    预测分子量
    77 kDa
    阳性对照 PC-3 cell; Jurkat cell; SW480 cell; HepG2 cell
    阴性对照

    实验方法

    WB
    实验步骤:
     
    样品制备
    1. 组织样品:破碎组织,加入适量冰冷的 RIPA/Nuclear Lysis Buffer (含蛋白酶抑制剂Cocktail),低温匀浆。
    2. 贴壁细胞样品:吸去培养基, 用冰冷的 PBS 清洗细胞 2 遍。加入适量冰冷的 RIPA/Nuclear Lysis Buffer (含蛋白酶抑制剂Cocktail),冰上静置裂解 5 min。
    3. 悬浮细胞样品:将培养基转移至离心管中离心,弃上清,用冰冷的 PBS 清洗细胞 2 遍。加入适量冰冷的 RIPA/Nuclear Lysis Buffer (含蛋白酶抑制剂Cocktail),冰上静置裂解 5 min。
    4. 将所得匀浆液/裂解液置于离心机中 4°C 离心 15 min,收集上清液;
    5. 取少量裂解液测定蛋白质浓度;
    6. 加入蛋白上样缓冲液,将 20 µL样品在 95~100°C加热 5 min,冰上静置冷却后离心 5 min。
     
    电泳分离
    1. 根据所提蛋白的浓度,将适量蛋白样品和 Marker 上样至 SDS-PAGE 凝胶。建议分离胶(即下层胶)浓度:10 %。 SDS-PAGE 分离胶浓度选择参照表
    2. 电源调 80 V, 30 min。然后电源调 110 V~150 V,观察 Marker,待蛋白所在的预染蛋白 Marker 指示带得到合适的分离后,即可停止电泳。(注意电泳时电流切勿过大,如超过 150 mA 会导致温度上升,容易影响跑胶结果。如无法避免采用大电流,可对电泳槽使用冰浴降温。)
     
    转膜
    1.拿出电转槽,把夹子和耗材浸泡在预冷电转液中;
    2.用甲醇活化 PVDF 膜 1 min,用转移缓冲液冲洗;
    3.按照“夹子黑边-海绵-滤纸-滤纸-胶-PVDF膜-滤纸-滤纸-海绵-夹子白边”的顺序安装好;
    4.将蛋白电转移至 PVDF膜上。(推荐采用 0.45 µm PVDF 膜) PVDF 膜孔径规格选择参照表
    湿转法参考条件:200 mA, 120 min
    (注意电转条件可根据蛋白大小适当调节,分子量大的蛋白适宜采用大电流,并延长转膜时间,但需要确保电转槽始终处于低温的环境中,避免凝胶融化。)
     
    封闭
    1. 电转移后,室温下用 TBST 洗膜 5 min;
    2. 在封闭液中将膜孵育 1 h,室温;
    3. 用 TBST 洗膜 3 次,每次 5 min。
     
    抗体孵育
    1. 用 一抗稀释液配制一抗工作液(建议一抗稀释比 1:10000),4°C 条件下与膜轻柔摇晃孵育过夜;
    2. 用 TBST 洗膜 3 次,每次 5 min;
    3. 在封闭液中加入二抗,室温条件下与膜轻柔摇晃孵育 1 h;
    4. 孵育结束后,用 TBST 洗膜 3 次,每次 5 min。
     
    显色
    1. 加入配制好的 ECL 发光底物(或根据二抗选择其他显色基质)混合均匀;
    2. 与膜孵育1 min,去除多余底物(需保持膜湿润),置于显影仪中进行曝光。
     

    Datasheet & SDS

    生物描述

    特异性

    DBF4 Antibody [A15L5] 可检测内源性 DBF4 总蛋白水平。

    蛋白定位
    细胞核
    Uniprot ID
    Q9UBU7
    克隆号
    A15L5
    别名
    ASK, DBF4A, ZDBF1, DBF4, Protein DBF4 homolog A, Activator of S phase kinase, Chiffon homolog A, DBF4-type zinc finger-containing protein 1
    背景
    Dbf4(哑铃前体4蛋白)是Cdc7激酶的调节亚基,而Cdc7激酶是参与众多染色体过程的关键酶,包括DNA复制起始、复制检查点激活、减数分裂、跨损伤DNA合成、组蛋白调控和有丝分裂退出。虽然Cdc7水平在整个细胞周期中保持相对稳定,但其激酶活性严格依赖于与Dbf4的结合。在人类中,Dbf4的同源物被称为ASK1,它是一种短寿命蛋白,在G1期后期和S期达到表达峰值。当细胞退出有丝分裂时,Dbf4会被降解。因此,Cdc7-Dbf4复合物的活性以细胞周期依赖的方式受到严格调控,在DNA复制开始时达到最大活性,并在有丝分裂结束时逐渐减弱。Dbf4和Cdc7之间的物理结合对于激酶在各种DNA相关过程中的功能至关重要。虽然激活Cdc7被认为是Dbf4的主要作用,但它也通过与其他关键激酶(例如Rad53、Cdc5等)相互作用参与更广泛的细胞周期调控。通过这些相互作用,Dbf4有助于协调和推进细胞周期的多个阶段。
    参考文献
    • https://pubmed.ncbi.nlm.nih.gov/23549174/

    技术支持

    在订购、运输、储存和使用我们的产品的任何阶段,您遇到的任何问题,均可以通过拨打我们的热线电话400-668-6834,或者技术支持邮箱tech@selleck.cn,直接联系到我们。我们会在24小时内尽快联系您。

    * 必填项

    请输入您的姓名
    请输入您的邮箱地址 请输入一个有效的邮箱地址
    请写点东西给我们
    在线咨询
    联系我们