p14 ARF Antibody [J3P11]

目录号: F0536

    抗体应用: 反应性:
    • Lane 1: hela
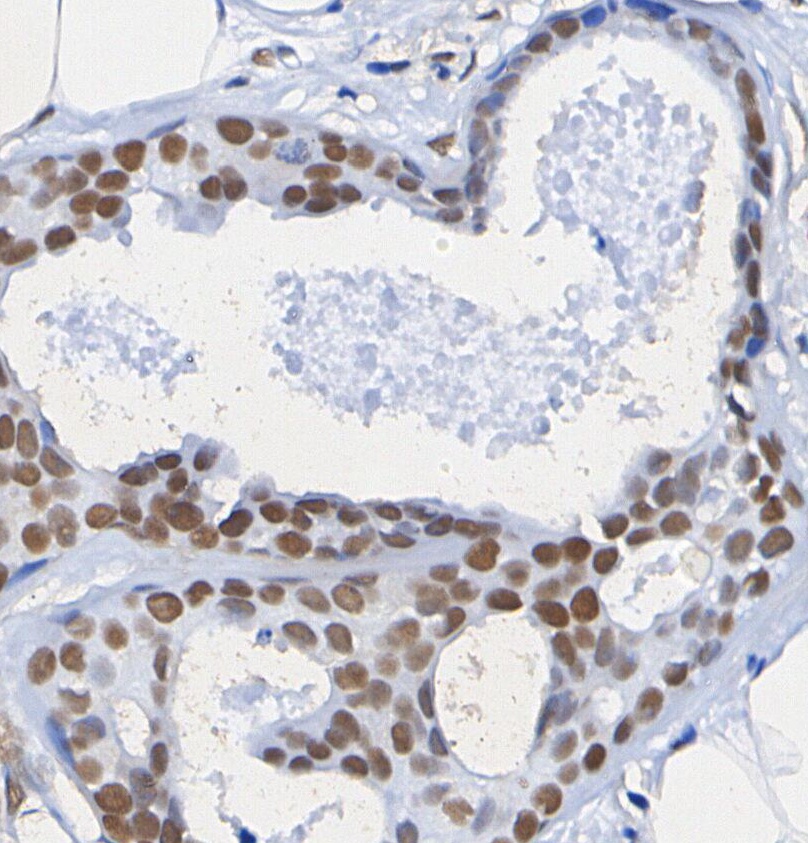
    • Immunohistochemical analysis of formalin fixed paraffin embedded human Breast cancer tissue with F0536 at 1/200 dilution.
    规格 价格 库存 购买数量
    20ul 790 现货
    50uL 1240 现货
    100ul 1990 现货
    100uL*2 3790 现货

    400-668-6834

    info@selleck.cn

    操作要点

    WB
    建议 SDS-PAGE 分离胶浓度:20%
    湿转参考条件:200 mA, 60 min,建议使用 0.22 μm PVDF膜。

    使用信息

    稀释比例
    1:1000
    1:50
    抗体应用
    WB, IHC
    反应性
    Human
    抗体类型
    Mouse Monoclonal Antibody
    储存液配方
    PBS, pH 7.2+50% Glycerol+0.05% BSA+0.01% NaN₃
    储存条件(自收到货起)
    –20°C (avoid freeze-thaw cycles), 2 years
    预测分子量
    14 kDa
    阳性对照 Hela
    阴性对照

    实验方法

    WB
    实验步骤:
     
    样品制备
    1. 组织样品:破碎组织,加入适量冰冷的 RIPA/Nuclear Lysis Buffer (含蛋白酶抑制剂Cocktail),低温匀浆或置于冰上超声裂解样品,静置30 min。
    2. 贴壁细胞样品:吸去培养基, 将细胞转移至EP管中。用冰冷的 PBS 清洗细胞 2 遍。加入适量冰冷的 RIPA/Nuclear Lysis Buffer (含蛋白酶抑制剂Cocktail),超声破碎,冰上静置裂解 30 min。冰上静置裂解 5 min。
    3. 悬浮细胞样品:将培养基转移至离心管中离心,弃上清,用冰冷的 PBS 清洗细胞 2 遍。加入适量冰冷的 RIPA/Nuclear Lysis Buffer (含蛋白酶抑制剂Cocktail),冰上静置裂解 5 min。
    4. 将所得匀浆液/裂解液置于离心机中 4°C 离心 15 min,收集上清液;
    5. 取少量裂解液测定蛋白质浓度;
    6. 加入蛋白上样缓冲液,将 20 µL样品在 95~100°C加热 5 min,冰上静置冷却后离心 5 min。
     
    电泳分离
    1. 根据所提蛋白的浓度,将适量蛋白样品和 Marker 上样至 SDS-PAGE 凝胶。建议分离胶(即下层胶)浓度:20 %。 SDS-PAGE 分离胶浓度选择参照表
    2. 电源调 80 V, 30 min。然后电源调 110 V~150 V,观察 Marker,待蛋白所在的预染蛋白 Marker 指示带得到合适的分离后,即可停止电泳。(注意电泳时电流切勿过大,如超过 150 mA 会导致温度上升,容易影响跑胶结果。如无法避免采用大电流,可对电泳槽使用冰浴降温。)
     
    转膜
    1.拿出电转槽,把夹子和耗材浸泡在预冷电转液中;
    2.用甲醇活化 PVDF 膜 1 min,用转移缓冲液冲洗;
    3.按照“夹子黑边-海绵-滤纸-滤纸-胶-PVDF膜-滤纸-滤纸-海绵-夹子白边”的顺序安装好;
    4.将蛋白电转移至 PVDF膜上。(推荐采用 0.22 µm PVDF 膜PVDF 膜孔径规格选择参照表
    湿转法参考条件:200 mA, 60 min
    (注意电转条件可根据蛋白大小适当调节,分子量大的蛋白适宜采用大电流,并延长转膜时间,但需要确保电转槽始终处于低温的环境中,避免凝胶融化。)
     
    封闭
    1. 电转移后,室温下用 TBST 洗膜 5 min;
    2. 在封闭液中将膜孵育 1 h,室温;
    3. 用 TBST 洗膜 3 次,每次 5 min。
     
    抗体孵育
    1. 用 一抗稀释液配制一抗工作液(建议一抗稀释比 1:1000),4°C 条件下与膜轻柔摇晃孵育过夜;
    2. 用 TBST 洗膜 3 次,每次 5 min;
    3. 在封闭液中加入二抗,室温条件下与膜轻柔摇晃孵育 1 h;
    4. 孵育结束后,用 TBST 洗膜 3 次,每次 5 min。
     
    显色
    1. 加入配制好的 ECL 发光底物(或根据二抗选择其他显色基质)混合均匀;
    2. 与膜孵育1 min,去除多余底物(需保持膜湿润),置于显影仪中进行曝光。
     
    IF
    实验步骤:
     
    标本制备
    1. 吸出液体,然后用 1X PBS 稀释的 4% 多聚甲醛覆盖细胞至 2-3 mm 的深度。
    注意:多聚甲醛有毒,只能在通风橱中使用。
    2. 室温固定细胞 15 分钟。
    3. 吸出固定液,用 1X PBS 冲洗 3 次,每次 5 分钟。
    4. 继续进行免疫染色。
     
    免疫染色
    1. 添加封闭缓冲液并在室温下孵育 60 分钟。
    2. 按照建议在抗体稀释缓冲液中制备一抗稀释液。
    3. 吸出封闭液,加入制备好的一抗稀释液。
    4. 4°C 孵育过夜。
    5. 在 1X PBS 中冲洗 3 次,每次 5 分钟。
    6. 将样本放入用抗体稀释缓冲液稀释的荧光染料偶联二抗中,室温避光孵育 1-2 小时。
    7. 在 1X PBS 中冲洗 3 次,每次 5 分钟。
    8. 使用带有 DAPI 的封固剂封固载玻片并盖上盖玻片。
    9. 为获得最佳效果,请让封固剂在室温下固化过夜。 如需长期保存,请将载玻片平放在 4°C 避光保存。
     
    IHC
    实验步骤:
     
    脱蜡/补液
    1. 脱蜡/水合切片:
    2. 将切片在二甲苯中孵育 3 次,每次 5 分钟。
    3. 将切片在 100% 乙醇中孵育两次,每次 10 分钟。
    4. 将切片在 95% 乙醇洗涤液中孵育两次,每次 10 分钟。
    5. 用 dH2O 清洗切片两次,每次 5 分钟。
    6.抗原修复:对于柠檬酸盐:将载玻片浸入 1X 柠檬酸盐暴露溶液中,在微波炉中加热,直至开始沸腾; 在亚沸温度 (95°-98°C) 下继续煮 10 分钟。 在工作台上冷却玻片 30 分钟。
     
    染色
    1. 用 dH2O 清洗切片 3 次,每次 5 分钟。
    2. 将切片在 3% 过氧化氢中孵育 10 分钟。
    3. 用 dH2O 清洗切片两次,每次 5 分钟。
    4. 在洗涤缓冲液中洗涤切片 5 分钟。
    5. 用 100–400 µl 封闭液在室温下封闭每个切片 1 小时。
    6. 除去封闭液,并向每个切片中添加 100–400 µl 一抗稀释液。 4°C 孵育过夜。
    7. 去除抗体溶液,用洗涤缓冲液洗涤切片 3 次,每次 5 分钟。
    8. 用 1-3 滴所需的 HRPA 覆盖切片。 在加湿室中室温孵育 30 分钟。
    9. 用洗涤缓冲液洗涤切片 3 次,每次 5 分钟。
    10. 使用前将 DAB 显色剂浓缩液加入 DAB 稀释液中并充分混合。
    11. 在每个切片上涂抹 100–400 µl DAB 并密切监测。 1-10 分钟通常可提供可接受的染色强度。
    12. 将载玻片浸入 dH2O 中。
    13. 如果需要,用苏木精复染切片。
    14. 用 dH2O 清洗切片两次,每次 5 分钟。
    15. 切片脱水:95%乙醇孵育切片两次,每次 10 秒; 在 100% 乙醇中重复,孵育切片两次,每次 10 秒; 在二甲苯中重复,孵育切片两次,每次 10 秒。
    16. 用盖玻片和封固剂封固切片。
     

    Datasheet & SDS

    生物描述

    特异性

    p14 ARF Antibody [J3P11] 可检测 p14 ARF 总蛋白的内源水平。

    蛋白定位
    线粒体,细胞核
    Uniprot ID
    Q8N726
    克隆号
    J3P11
    别名
    CDKN2A/p14ARF
    背景

    P14ARF 是一种由 CDKN2a 基因座编码的肿瘤抑制因子,在人类肿瘤中经常失活。 它作为 CDKN2a 的替代转录物出现,编码具有有效肿瘤抑制活性的核仁蛋白 p14ARF。 p14ARF 的一项关键功能是阻止致癌损伤诱导的异常细胞增殖。 它通过与 p53 特异性 E3 泛素连接酶 Mdm2 结合、将其隔离在核仁中并防止 Mdm2 介导的 p53 降解来实现这一目标。 因此,p53 被激活,导致细胞凋亡诱导和细胞周期抑制基因的表达。 此外,p14ARF 可以抑制 ARF-BP1/Mule 蛋白的泛素连接酶活性。 p14ARF 的这种多方面作用强调了其在维持基因组稳定性和抑制肿瘤发生方面的重要性。

    参考文献
    • https://pubmed.ncbi.nlm.nih.gov/32698529/

    技术支持

    在订购、运输、储存和使用我们的产品的任何阶段,您遇到的任何问题,均可以通过拨打我们的热线电话400-668-6834,或者技术支持邮箱tech@selleck.cn,直接联系到我们。我们会在24小时内尽快联系您。

    * 必填项

    请输入您的姓名
    请输入您的邮箱地址 请输入一个有效的邮箱地址
    请写点东西给我们
    在线咨询
    联系我们